Ровные зубы за 4 месяца вместо 4 лет: показываем кейс | Версэлайн- технологии будущего в ортодонтии | ПромоСтраницы
Ровные зубы за 4 месяца вместо 4 лет: показываем кейс

Носить брекеты\элайнеры годами больше не нужно – в ортодонтии наконец-то появилось ускорение. Технология молекулярной кортикотомии позволяет без хирургического вмешательства сократить срок ортодонтического лечения в… 4-5 раз. Технология защищена патентом и подтверждена клиническими исследованиями. В чем секрет высокой скорости? Есть ли у нее побочные эффекты? Как проходит лечение? На все вопросы лучше ответить наглядно – в этой статье мы разобрали свежий кейс клиники Versalign. Читайте дальше, и вы увидите результат, полученный за 4 месяца вместо 4 лет, и узнаете все секреты!

Знакомство с пациенткой, и что было до?

Ровные зубы за 4 месяца вместо 4 лет: показываем кейс
Ровные зубы за 4 месяца вместо 4 лет: показываем кейс

Итак, давайте знакомиться с пациенткой – это 14-летняя Вероника. Девочка пришла в клинику вместе с мамой, которая поддерживала ее на протяжении всего лечения. Отметим, что все материалы мы публикуем с согласия пациентки и ее мамы.

С одной стороны, Вероника очень переживала из-за того, что ее улыбка не идеальна. С другой, категорически не хотела носить брекеты. Они с мамой уже ходили на консультацию к другому ортодонту и сроки были названы неутешительные – 3-4 года.

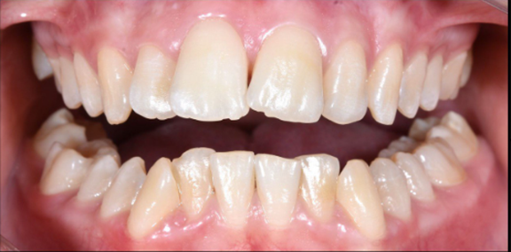
Сагиттальная щель, скученность зубов, перекрестный прикус в боковом отделе, необходимость корректировки центра на верхней и нижней челюсти – вот такой фронт работ предстоял ортодонту в этом кейсе.

Почему Versalign?

Когда Вероника и ее мама узнали, что с Versalign можно получить результат всего за 3–5 месяцев вместо традиционных 3–4 лет, это стало решающим аргументом. Их впечатлил научный подход, статистика успешных результатов и возможность избежать долгого ношения брекетов. После консультации с врачом-ортодонтом, которая подробно объяснила процесс и преимущества технологии, они без раздумий заключили договор. Читайте дальше, будем смотреть, что было сделано и что получилось.

Как проходило лечение: подготовительный период

Начальный этап любого ортодонтического лечения – диагностика, 3d моделирование будущей улыбки Вероники. Когда все это было сделано и план лечения составлен, начался подготовительный этап длиною в 3 недели. Проходит он в домашних условиях: Вероника получила специальное оборудование для электрофореза и гель Версэлайн.

Один раз в день Вероника должна была уделить время процедуре электрофореза 20 минут. Никаких болевых или неприятных ощущений при процедуре не возникало.

Гель Versalign и электрофорез – вот весь набор который нужен для быстрой ортодонтии. Цель процедуры – повышение пластичности костной ткани и повысить ее способность к перестройке.

Как проходило лечение: основной этап

21 сентября 2024 года Веронике установили брекеты.

Ровные зубы за 4 месяца вместо 4 лет: показываем кейс
Ровные зубы за 4 месяца вместо 4 лет: показываем кейс

Напоминаем, что 3 недели пациентка проводила физиотерапевтические подготовительные домашние процедуры. Ее костная ткань была уже полностью готова к перемещениям. Через неделю был получен вот такой результат:

Ровные зубы за 4 месяца вместо 4 лет: показываем кейс
Ровные зубы за 4 месяца вместо 4 лет: показываем кейс

Через месяц, результат был уже таким:

Ровные зубы за 4 месяца вместо 4 лет: показываем кейс
Ровные зубы за 4 месяца вместо 4 лет: показываем кейс

А спустя 2 месяца после начала лечения, вот таким:

Ровные зубы за 4 месяца вместо 4 лет: показываем кейс
Ровные зубы за 4 месяца вместо 4 лет: показываем кейс

28 декабря 2024 года брекеты были сняты с верхней челюсти. Прошло всего 3 месяца с момента начала лечения:

Ровные зубы за 4 месяца вместо 4 лет: показываем кейс
Ровные зубы за 4 месяца вместо 4 лет: показываем кейс

26 января 2025 года брекеты сняли и с нижней челюсти. Давайте посмотрим окончательный результат:

Ровные зубы за 4 месяца вместо 4 лет: показываем кейс
Ровные зубы за 4 месяца вместо 4 лет: показываем кейс

Что удалось сделать?

С сентября 2024-го по январь 2025-го года прошло всего 4 месяца плюс еще 3 недели подготовительного периода. Результаты достигнуты впечатляющие:

· Убрана сагиттальная щель 5 мм.

· Устранена скученность зубов.

· Скорректирован центр на верхней и нижней челюсти.

· Исправлен перекрестный прикус в боковом отделе.

Легко ли было Веронике?

По словам юной пациентки и ее мамы, лечение прошло легко и комфортно. Врачи сопровождали их на каждом этапе, отвечали на все вопросы и поддерживали. «Это даже нельзя назвать лечением – все было настолько просто и понятно», – поделилась мама Вероники. Полный видео-отзыв вы можете посмотреть в нашем Телеграм-канале. Не забудьте подписаться – там интересно!

Ровные зубы за 4 месяца вместо 4 лет: показываем кейс
Ровные зубы за 4 месяца вместо 4 лет: показываем кейс

Итог

Всего за 4 месяца Вероника получила улыбку своей мечты. Технология Versalign доказала, что современная ортодонтия может быть быстрой, эффективной и комфортной.

Если вы тоже мечтаете о ровных зубах, но не хотите тратить на это годы, Versalign – ваш идеальный выбор. Листайте вниз страницы, чтобы перейти на сайт клиники и оставить заявку!

Консультация: Тел: +7(495)885-73-25

Телеграм

Ватсап